Optima IGS 330 Exceptional reliability, image quality, and dose efficienc
| Kategorisi | Nöroloji Cihazları Ve Görüntüleme Sistemleri |
| Alt Kategori | GÖRÜNTÜLEME CİHAZLARI |
| Görüntülenme | 144 |
Optima™ IGS 330, denenmiş ve güvenilir GE teknolojisinden yararlanılarak üretildi. Serbestçe hareket etmenize ve her prosedür için seçtiğiniz detay düzeyine sahip klinik görüntüler elde etmenize olanak tanır.
Güvenilir görüntüleme teknolojisi
Patentli sistem esnekliği
Smart Nav ile canlı görüntünün yanındaki referans ekranda görüntülenen menüde kolayca gezinin ve ana uygulamalar ile işlevleri kullanmak için açık simgelerden faydalanın.
Optima sistemleri, klinik kararların temelini oluşturacak mükemmel bilgiler sunar. Prosedür ile ilgili gereksinimleriniz değiştiğinde kolayca değiştirilebilecek kadar esnektir.
Baştan ayağa klinik çok yönlülük
Çok çeşitli görüntüleme özellikleri
Özel klinik uygulamalar
Optima IGS 330, acil klinik gereksinimleriniz ve finansal durumunuz ile uyumludur ve sağlık kurumunuz geliştikçe daha sonra seçenekler eklemenize olanak sağlar.
Ortamınızla bütünleşen performans
Optima IGS 330, tanılama işlemlerine veya yüksek işlem hacmine sahip rutin prosedürleri idare edebilecek bir odaya ihtiyaç duyulan tüm hastaneler için değerli bir varlıktır. Küçük odalara sığması, alanın önemli olduğu durumlarda idealdir.
Maksimum çalışma süresi için uzaktan ve proaktif sistem izleme
Optima IGS 330, InSiteTM uzaktan hizmet platformuna sahiptir ve sistem parametreleri hakkında soruları cevaplayabilen ve teknik destek veren GE uzmanlarına canlı erişim sağlar. Optima sistem güvenilirliği, milyonlarca saat çalışma süresi sunan dünya genelinde yaklaşık 300 kurulum ile kanıtlanmıştır.
Ölçeklenebilir sistem sizlerle birlikte gelişiyor
Faydalar
Güvenilir yeniliklerin ışığında üretildi
GE, girişimsel sistemlerin tüm portföyünü sıfırdan başlayarak aynı denenmiş ve güvenilir, tamamı GE'ye ait görüntüleme zinciri ile tasarlar; ihtiyacınız olan görüntü netliğini sağlamak için optimize edilmiştir ve dozu mümkün olduğunca düşük tutmanıza yardımcı olur. Tescilli anjiyografi düz panel dedektörü, sektörün en yüksek değerleri arasında yer alan Dedektif Kuantum Verimliliğini (DQE) sunar.
Esnek üç eksenli gantri, sol veya sağ taraftan mükemmel hasta erişimi sunar. Ek olarak, prosedürleri gerçekleştirirken görüntülerin rahatça görüntülenebilmesi için monitörlerinizi masanın her iki tarafına da yerleştirebilirsiniz. SmartBox kontrolü, sistemi masa başından kolayca hareket ettirmenizi sağlar. Oda içi tarayıcıyla etkileşimli masa başı seçimi ve inceleme için alınan sekansların küçük resim görüntüsünü doğrudan oda içi monitörde inceleyebilirsiniz. Ayrıca, bir düğmeye basarak otomatik olarak angülasyon bilgilerini aktarabilir ve gantrinin inceleme görüntüsünden alınan konumla eşleşecek şekilde konumlandırılmasını sağlayabilirsiniz.
Her klinik olgu için doğru araç
31 cm (12,2 inç) kare düz panel dijital dedektörü ile Optima IGS 330, karışık bir kardiyoloji ve periferik vasküler görüntüleme ortamına uyum sağlamak için idealdir. Daha büyük anatomiler için dedektör kapsama alanından ödün vermeden dik açılandırmalar için kapasiteyi birleştirir.
Optima IGS 330, sağlıklı klinik kararlar almanıza yardımcı olmak için ihtiyaç duyduğunuz görüntüleri oluşturmak üzere çok çeşitli çekim olanakları sunar. Örneğin, Blended Roadmap, bir Digital Subtrated Angiography (DSA) (Dijital Subtraksiyonlu Anjiyografi) görüntüsünün 2D floroskopi ile üst üste yerleşmesini sağlayarak kılavuz tellerin ve cihazların damarlardaki ilerlemesini görmenize yardımcı olan hızlı, kolay ve potansiyel olarak doz ve kontrast tasarruflu bir yol haritası uygulamasıdır. Ayrıca, doz IQ özelleştirme floroskopi ve kayıt çekimlerinde çeşitli klinik protokoller için farklı görüntü kalitesi ve doz stratejileri sağlar. Siz sadece prosedüre en uygun protokolü seçersiniz.
Tanısal amaçlarla daha hassas vakalarda size yardımcı olmak amacıyla sunulan mesafe ölçümü, Stenoz Analizi (SA) veya daha ileri klinik uygulamalara yönelik kantitatif analiz araçlarını seçebilirsiniz. Perkütan koroner girişimler için StentViz, stent sınırlarının ve detaylarının mükemmel şekilde görüntülenmesini sağlar. Innova 3D, hızlı bir 3D rotasyonel anjiyografi çekimleri ve AW Workstation'da anatominin rekonstrükte edilmesini sağlar. Ayrıca Innova Subtracted 3D ile çevreleyen kemiği, dokuyu ve implante edilmiş cihazları çıkarmadan damarları hızlı bir şekilde görselleştirmenize yardımcı olacak görüntüleri görüntüleyerek ardışık iki rotasyonel çekimde elde edilen 3D hacimleri rekonstrükte edebilirsiniz.
Kuruluşunuz için güçlü bir yatırım
Artık Optima IGS 330, klinik uygulamalardan hizmet sözleşmelerine kadar istediğiniz zaman yükseltilebilen 30'dan fazla seçenekle birlikte sunulmaktadır. Örneğin, gerçekleştirdiğiniz prosedürlerin kapsamını genişlettikçe, ince damarları yüksek kalitede görüntülerken değişken kaydırma hızı kontrolünden yararlanarak kontrast bolusu gerçek zamanlı olarak izlemenizi sağlayan çıkarılmış periferik vasküler görüntüleme tekniği olan InnovaBreezeTM ile periferik tarama prosedürlerini dahil edebilirsiniz. GE, sistemi gelecekteki gereksinimlerinize göre ölçeklendirmek için daha da geniş bir seçenek yelpazesi sunmak amacıyla sürekli Ar-Ge çalışmalarına yatırım yapmaktadır.
Klinik Görüntüler
-
Aortic procedure
-
Elde AVM
-
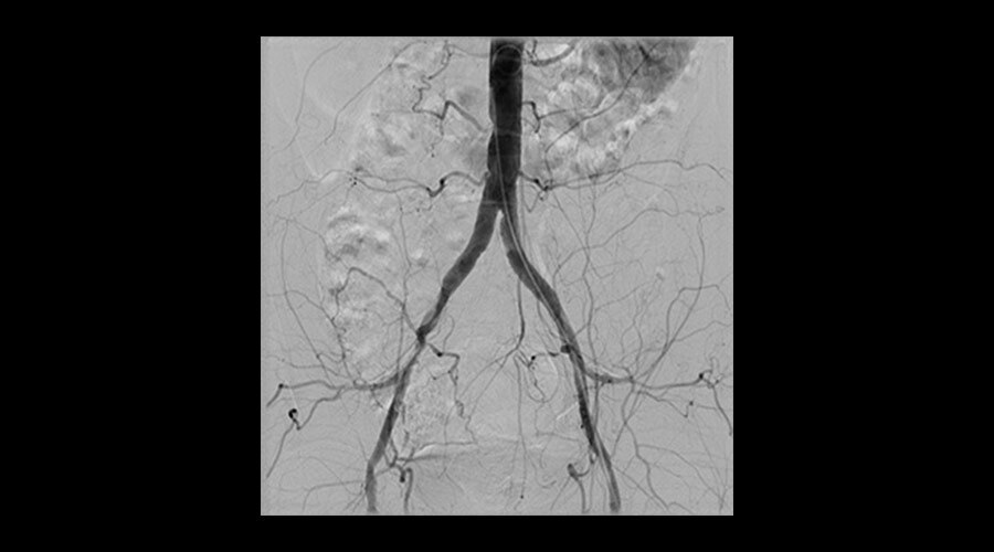
İliyak stentlemesi
-
Infiltration treatment
-
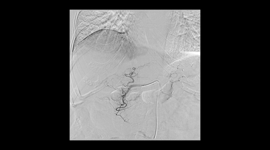
Karaciğer embolizasyonu
-
Akciğer embolizasyonu
-
Periferik çekim
-
Splenik anevrizma tedavisi









