Revolution ACT Hedefleriniz. Gerçek Oldu
| Kategorisi | Nöroloji Cihazları Ve Görüntüleme Sistemleri |
| Alt Kategori | GÖRÜNTÜLEME CİHAZLARI |
| Görüntülenme | 246 |
Görüntü Galerisi
-
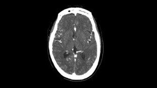
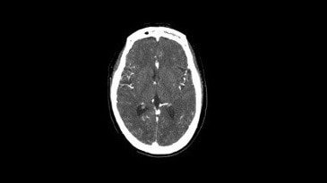
Nöroloji Görüntü Galerisi
-
Vasküler Görüntü Galerisi
-
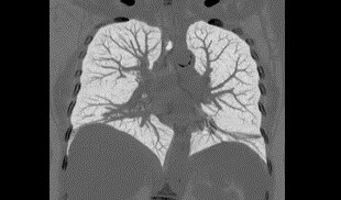
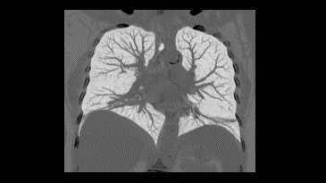
Vücut Görüntü Galerisi
-
Kas-İskelet Görüntü Galerisi
Dipnotlar
1. Önceki DAS ile karşılaştırılmıştır
2. GE verilerine göre önceki nesille karşılaştırılmıştır
3. Bu opsiyon yalnızca seçili ürün yapılandırmalarında kullanılabilir
4. Klinik uygulamada ASiR kullanımı klinik işlem, hasta boyutu, anatomik konum ve klinik uygulamaya bağlı olarak BT hasta dozunu düşürebilir. Uygulanacak klinik işlemde tanısal görüntü kalitesi elde etmek için uygun dozu belirlemek üzere bir radyolog ve hekimle konsültasyon yapılmalıdır. Düşük kontrastlı algılama (LCD), görüntü gürültüsü, uzaysal çözünürlük ve artefaktlar, ASiR ve FBP'nin karşılaştırıldığı referans fabrika protokolleri kullanılarak değerlendirilmiştir.








